
Lately, have you been suffering from reduced knee joint mobility or pain? Are these factors interfering with your routine activities and making movements challenging? Well, surgery is one option but fortunately not the only one! Depending on the doctor’s diagnosis and the procedure’s suitability in your case, you may go for knee joint preservation. While it may seem obvious as to what knee joint preservation would be, Ranka Hospital offers some insights into it.
Joint preservation helps restore the normal motion and functioning of the knee joint without replacing it. It is a preservation-based approach that helps surgeons preserve the knee joint and its natural structure. Knee joint preservation primarily suits people with defects in the knee’s articular cartilage. You may undergo knee preservation when you suffer from osteoarthritis and your knee pain reaches a point where you need surgery. Knee preservation helps avoid surgery by maintaining the knee’s native tissues for as long as possible.
Usually, knee preservation arthroscopy suits younger patients below 50 years who have suffered structural damage due to injuries, including knee cartilage damage, ligament tears, and meniscus tears. If you have knee problems, exploring the possibilities of knee preservation and undergoing the procedure at a young age is better than surgery at an older age. The procedure helps avoid degeneration to the extent that you will need to undergo surgery later.
Let’s now look at the various surgical and non-surgical procedures associated with knee preservation. Here are the two surgical ones to begin with.
A distal femoral osteotomy involves creating a surgical fracture at the end of the femur and changing the bone’s shape. Usually, people with knocked knees undergo the procedure. It is termed valgus alignment. The surgery intends to realign knees in a way that the weight-bearing axis is changed to pass through the knee’s center or only into the knee’s interior compartment.

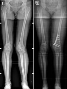
A high tibial osteotomy helps realign the knee joint. In patients suffering from knee arthritis, HTO can delay or avoid partial or total knee replacement by preserving the damaged joint tissue. Surgeons usually perform HTO to treat medial, uni-compartmental osteoarthritis of the knee and/or fix misalignment of bones that form the knee joint.


Pre and post op X-ray HTO
Let’s now look at a few non-surgical procedures that work towards knee preservation.
Viscosupplementation involves injecting a thick fluid called hyaluronate into the knee joint. Hyaluronate helps improve the lubricating capabilities of the synovial fluid. Thus, it can help reduce knee pain resulting from osteoarthritis, enhance mobility, and make routine movements more comfortable for the patient.
Platelet-rich plasma (PRP) involves taking the patient’s blood sample and extracting the platelets via a centrifugal process. Further, surgeons use a photoactivation process on the concentrated substance before reinjecting it into the injured region. PRP is believed to help alleviate pain and inflammation to expedite the body’s repair process.

In some cases, the patient may not have to undergo any surgical or other non-surgical procedures. Personalized and regular physiotherapy can help relieve symptoms like pain and loss of mobility and gradually strengthen the weakened muscles. It can also help enhance the knee’s balance.
Another non-surgical procedure is knee bracing. Knee braces are medical devices that help stabilize the knee joint and hold it in place. Doctors recommend braces to protect and support the knee after an injury. Patients also use knee braces after undergoing surgery.
Do not wait for your knee symptoms to intensify. Listen to your body and act promptly. You may not need surgery if you undergo knee preservation in time. Visit Ranka Hospital and explore possibilities with Dr. Ramesh Ranka, a seasoned and renowned orthopedic doctor in Pune, India. Feel free to call us at +91 – 20 – 24261530 to book an appointment and step closer to preserving your knees.